Especialidades
Nuestras especialidades

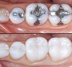
Odontología Restauradora
Operatoria dental, reconstrucciones estéticas y cambio de obturaciones.

Endodoncia
Tratamientos de endodoncia sector anterior y premolares. (unirradicular o birradicular)

Blanqueamientos
Tratamientos asequibles de blanqueamiento con el Sistema Zoom 2 en una sesión.

Rehabilitación sobre implantes
Te ayudamos a conseguir una nueva dentadura o un único diente que combine con tu sonrisa.

Periodoncia
Profilaxis bucal integral, controles periódicos, tratamiento para bruxismo y planos de alivio oclusal.

